Pneumonia Virale Covid
20200618 Gnralement les la plupart des symptmes communs de la pneumonie comprennent la toux fivre secouant des frissons manque du souffle mal de tte transpiration douleur thoracique tranchante. 20201024 Fungal pneumonia typically appears in people with chronic health issues.
COVID-19 is a unique disease characterized by extensive lung thrombosis long-term persistence of viral RNA in pneumocytes and endothelial cells along with the presence of infected cell syncytia.

Pneumonia virale covid. MEDLINE EMBASE and Cochrane databases were searched through April 04 2020 for published English language studies. By November 19 2020 this disease has been found in more than 200 countries with 55659785 confirmed cases and has caused 1338769 deaths 1. Pneumonia este o infectie care inflameaza alveolele pulmonare saculetii de aer din plamani care se pot umple cu lichid sau puroi provocand simptome precum tuse febra frisoane si probleme de respiratie.
Therapies that may impair the viral clearance may impair the host recovery from COVID-19. To date no vaccines or effective drugs have been approved to prevent or treat COVID-19 and the current standard care relies on supportive treatments. Cochrane Database Syst Rev 2017.
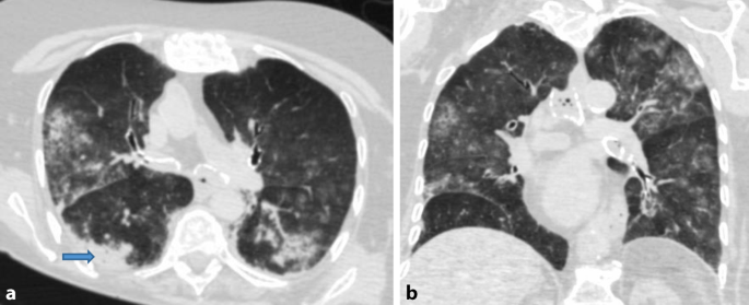
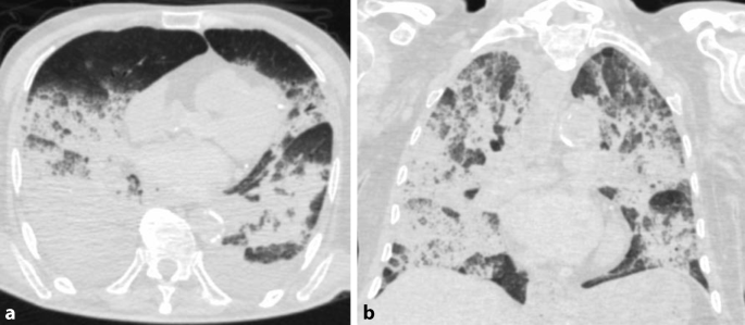
20200901 La prsentation classique du COVID-19 pourrait tre assez proche de celle dautres pneumopathies virales mais la topographie priphrique des lsions la prsence de fines rticulations et lpaississement pribronchovasculaire seraient plus frquemment retrouvs dans la pneumonie COVID-19 18. 20200319 Coronavirus disease 2019 COVID-19 outbreak first reported in Wuhan China has rapidly swept around the world just within a month causing global public health emergency. 20201001 Pulmonary Manifestations of COVID-19 Respiratory illness is the most commonly associated manifestation of SARS-CoV-2.
Dans linfection COVID-19 dont la complication svre est une pneumonie virale les facteurs favorisant des complications infectieuses notamment pleuropulmonaires sont particulirement redouts. 20201005 Viral arthritis and COVID-19 The current outbreak of COVID-19 caused by severe acute respiratory syndrome coronavirus 2 SARS-CoV-2 is characterised by clinical signs and symptoms such as interstitial pneumonia fatigue and headache. Studies were eligible if they included immunocompetent patients with up to 14 days of viral pneumonia.
Having pneumonia from a. In diagnosis chest computed tomography CT manifestations can supplement parts of limitations of real-time reverse transcription polymerase chain reaction RT-PCR assay. Persistent Viral Presence Determines the Clinical Course of the Disease in COVID-19.
These data suggest that viral persistence is the key determining factor of the disease severity. 20200505 De fait la pneumonie Covid-19 peut se prsenter cliniquement de faon trs htrogne. 20170630 Os principais vrus causadores deste tipo de pneumonia so os vrus que causam resfriados e gripes como o Influenza do tipo A B ou C H1N1 H5N1 e o novo coronavrus de 2019 COVID-19 alm de outros como vrus parainfluenza vrus sincicial respiratrio e adenovrus por exemplo que podem ser transportados nas gotas de saliva ou de secreo.
Several of COVID-19 features might be consequent to the persistence of virus-infected cells for the duration of the disease. Stern A Skalsky K Avni T Carrara E Leibovici L Paul M. Il nexiste cependant.
Hinweise zur Erkennung Diagnostik und Therapie von Patienten mit COVID-19. 20210126 Coronavirus Disease 2019 COVID-19 caused by severe acute respiratory syndrome coronavirus 2 SARS-CoV-2 has become a global pandemic. Pour un mme degr.
Therefore based on the fast and global spread of the virus urgent investigations are warranted in order to develop preventive and therapeutic drugs. Viral pneumonia is usually caused by cold flu and SARS-CoV-2 the virus that causes COVID-19. 1 日前 Pneumonia de exemplu desi poate aparea in formele severe de COVID poate sa nu aiba nicio legatura cu acesta.
This is due to abundant ACE2 receptor expression in the lung parenchyma specifically on the acinar side of lung epithelial cells pneumocytes within the alveolar spaces allowing virus entry Fig 1 5. Dhypoxmie certains patients Covid-19 prsentent une gne respiratoire plus ou moins. 20200627 To compare the chest computed tomography CT findings of coronavirus disease 2019 COVID-19 to other non-COVID viral pneumonia.
1 Arthralgia is one of the symptoms that occurs in patients with COVID-19 and is present in 149 of cases.
Diagnostics Free Full Text Evaluation Of The Usefulness Of Co Rads For Chest Ct In Patients Suspected Of Having Covid 19 Html
Covid 19 Lungs In Post Mortem Computed Tomography Springerlink
Viral Respiratory Tract Infection Radiology Reference Article Radiopaedia Org
Mayo Clinic Minute Is Pneumonia Bacterial Or Viral Youtube
Influenza A Pneumonia Radiology Case Radiopaedia Org
Novel Coronavirus Sars Cov 2 Covid 19 An Update What Emergency Clinicians Need To Know
Viral Respiratory Tract Infection Radiology Reference Article Radiopaedia Org
Viral Respiratory Tract Infection Radiology Reference Article Radiopaedia Org
Factors Associated With The Duration Of Viral Shedding In Adults With Covid 19 Outside Of Wuhan China A Retrospective Cohort Study International Journal Of Infectious Diseases
Pneumonia Radiology Reference Article Radiopaedia Org
Pneumonia Radiology Reference Article Radiopaedia Org
Using Deep Learning To Detect Pneumonia Caused By Ncov 19 From X Ray Images By Ayrton San Joaquin Towards Data Science
Who Prospective Study Of The Clinical Progression And Viral Load Of Sars Associated Coronavirus Pneumonia In A Community Outbreak
Influenza A Pneumonia Radiology Case Radiopaedia Org
Diagnostics Free Full Text Evaluation Of The Usefulness Of Co Rads For Chest Ct In Patients Suspected Of Having Covid 19 Html
Covid 19 Lungs In Post Mortem Computed Tomography Springerlink
Spinal Epidural Abscess In Covid 19 Patients Springerlink


Post a Comment for "Pneumonia Virale Covid"